Doenças Oculares
Quais as doenças oculares?
Visão cuidada é qualidade de vida preservada: cuide dos olhos, prevenindo doenças oculares.
Erros Refrativos (Miopia, Hipermetropia, Astigmatismo, Presbiopia)
Doenças de Erros Refrativos são problemas oculares que ocorrem devido à incapacidade do olho de focar a luz corretamente na retina, resultando em visão borrada. Esses erros são geralmente causados pela forma do olho ou pela córnea e podem ser corrigidos com o uso de óculos, lentes de contato ou cirurgia refrativa. Os principais tipos de erros refrativos incluem:
1. Miopia (ou “visão curta”): A luz é focalizada antes de atingir a retina, tornando objetos distantes borrados.
2. Hipermetropia (ou “visão longa”): A luz é focalizada atrás da retina, dificultando a visão de objetos próximos.
3. Astigmatismo: A córnea ou o cristalino têm uma curvatura irregular, causando visão distorcida ou borrada em todas as distâncias.
4. Presbiopia: A perda gradual da capacidade de focar em objetos próximos, geralmente devido ao envelhecimento, afetando principalmente pessoas acima dos 40 anos.
Esses problemas são muito comuns e podem ser diagnosticados por um oftalmologista durante um exame de vista.
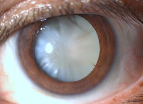
O que é a Catarata?
A CATARATA consiste numa opacidade parcial ou total do cristalino, a lente natural do olho responsável pela capacidade de este focar objetos ao perto e ao longe. É o cristalino saudável e transparente que nos permite ver com nitidez a todas as distâncias.
A perda progressiva da transparência do cristalino, CATARATA, faz com que a entrada da luz no olho até à área central da retina não se faça de uma forma correta e adequada e, consequentemente, a visão torna-se turva.
COMO SE FORMA A CATARATA?
A CATARATA é, normalmente, o resultado do processo natural de envelhecimento. Na realidade, quase todas as pessoas acima dos 60 anos de idade têm a doença, que geralmente aparece de forma progressiva e gradual. Existem outras causas de CATARATA, tais como diabetes e outras alterações metabólicas, traumatismos, exposições prolongadas à luz ultravioleta, alta miopia, cirurgias oculares prévias e determinadas medicações (por exemplo: corticosteroides) em que a progressão é muito mais rápida. A visão vai sendo afetada com diminuição da qualidade da acuidade visual e da vida dos próprios doentes.

COMO SE MANIFESTA A CATARATA?
De acordo com o estadio da evolução da CATARATA, vários sintomas podem aparecer ao longo do tempo, nomeadamente aumento da sensibilidade à luz (fotofobia), sensação de visão enovoada e desfocada, visão dupla, alteração da perceção das cores, mudanças rápidas da graduação dos óculos e lentes de contacto e, por fim, perda da acuidade visual. A CATARATA TOTAL leva a uma baixa de visão que pode ser extrema, ao ponto de o doente apenas ter perceção de luz no olho afetado. A CATARATA não provoca dor.
É A CATARATA UMA DOENÇA FREQUENTE?
A CATARATA atinge quase metade da população mundial com mais de 60 anos. Estima-se que no mundo cerca de 160 milhões de pessoas possam ter a doença, considerada a maior causa de cegueira evitável. Nos Países em vias de desenvolvimento, a CATARATA é ainda a principal causa de cegueira.
QUAL O TRATAMENTO DA CATARATA?
O único tratamento da CATARATA é a cirurgia. Não há medicação em gotas ou em comprimidos que faça diminuir a catarata.
QUAL O MOMENTO IDEAL PARA OPERAR?
A CATARATA não precisa de “amadurecer” para que possa ser removida, como se pensava há uns anos atrás. Pelo contrário, a CATARATA pode e deve ser operada em fases não muito avançadas para que a cirurgia seja mais fácil para o doente e para o médico.
A realização da cirurgia da CATARATA depende da exigência visual pessoal e ou profissional de cada um. Assim, quando surgem as dificuldades visuais, principalmente na leitura, na visualização de legendas, ao atravessar uma rua com o sol de frente, no reconhecimento de pessoas a curta distância e na condução, o oftalmologista deve aconselhar a cirurgia.
Doença da Córnea?
A doença da córnea é um termo abrangente que se refere a várias condições médicas que afetam a córnea, a parte transparente e protetora da frente do olho. A córnea desempenha um papel fundamental na focagem da luz que entra no olho, permitindo a formação de uma imagem clara na retina.
Existem diferentes tipos de doenças da córnea, algumas das quais incluem:
1. Queratite: Inflamação da córnea, muitas vezes causada por infecções bacterianas, virais, fúngicas ou por lesões oculares. Pode resultar em visão embaçada, dor, sensibilidade à luz e vermelhidão.
2. Ceratocone: Condição na qual a córnea torna-se mais fina e começa a protruir para fora, adquirindo uma forma cônica. Isso pode causar distorção visual, astigmatismo irregular e visão embaçada.
3. Distrofias da Córnea: São doenças hereditárias que afetam a estrutura da córnea, podendo levar à opacificação, perda de transparência e comprometimento da visão. Exemplos incluem distrofia de Fuchs e distrofia de lattice.
4. Ceratopatia bolhosa: É uma condição que resulta na formação de bolhas no epitélio da córnea, causando dor, visão embaçada e desconforto ocular.
5. Úlcera de córnea: Ferida aberta na superfície da córnea, frequentemente causada por infecções, abrasões ou lesões oculares. Pode ser dolorosa e, se não tratada, pode levar a complicações sérias.
O tratamento para doenças da córnea depende da causa e da gravidade da condição. Pode envolver o uso de medicamentos tópicos, como colírios ou pomadas, terapia a laser, lentes de contato especiais, transplante de córnea (ceratoplastia) em casos graves ou procedimentos cirúrgicos específicos para corrigir certas condições, como no ceratocone avançado.
Glaucoma?
O glaucoma é uma condição ocular crônica e progressiva que afeta o nervo óptico, podendo levar à perda permanente da visão se não for tratado adequadamente. Geralmente, o glaucoma está associado ao aumento da pressão intraocular (pressão dentro do olho), mas nem sempre é o único fator determinante.
A pressão intraocular elevada pode danificar o nervo óptico ao longo do tempo, causando perda gradual da visão periférica. No entanto, em alguns casos, o glaucoma pode progredir mesmo com pressões oculares dentro da faixa considerada normal para determinada pessoa.
Existem diferentes tipos de glaucoma, incluindo:
1. Glaucoma de ângulo aberto: É o tipo mais comum. Geralmente, progride lentamente, muitas vezes sem sintomas evidentes até estágios avançados.
2. Glaucoma de ângulo fechado: Caracteriza-se por um bloqueio repentino do fluxo de líquido no olho, levando a um aumento rápido da pressão intraocular. Pode ser uma emergência médica.
3. Glaucoma congênito: Presente ao nascimento ou desenvolvendo-se nos primeiros anos de vida, é causado por problemas estruturais no olho.
4. Glaucoma secundário: Resulta de outras condições médicas, como lesões oculares, inflamação, certos medicamentos ou cirurgias oculares anteriores.
Os sintomas do glaucoma podem não ser notados nas fases iniciais, mas à medida que a condição progride, podem ocorrer sintomas como visão periférica reduzida, halos ao redor das luzes, dor ocular, dor de cabeça e visão embaçada.
O tratamento para o glaucoma geralmente envolve o uso de colírios para reduzir a pressão intraocular, cirurgia a laser (como a trabeculoplastia ou iridotomia a laser) ou procedimentos cirúrgicos convencionais em casos mais avançados. É importante diagnosticar e tratar o glaucoma precocemente para ajudar a preservar a visão e evitar a progressão da doença. Consultas oftalmológicas regulares são fundamentais para o diagnóstico precoce do glaucoma e para o tratamento adequado.
Doenças da Retina
Doenças da retina são condições que afetam a camada de tecido sensível à luz no fundo do olho, que é crucial para a visão. A retina converte a luz em sinais elétricos que são enviados ao cérebro para interpretação. Algumas das principais doenças da retina incluem:
1. Degeneração Macular Relacionada à Idade (DMRI): Uma doença comum entre pessoas idosas que afeta a mácula, a parte central da retina, responsável pela visão central e detalhada. Existem dois tipos principais: seca (não neovascular) e úmida (neovascular).
2. Retinopatia Diabética: Causada por danos aos vasos sanguíneos da retina devido ao diabetes. Pode levar à perda de visão se não for tratada adequadamente. Inclui estágios como retinopatia não proliferativa e proliferativa.
3. Descolamento de Retina: Ocorre quando a retina se separa da camada subjacente de suporte de tecido. É uma emergência médica que requer tratamento imediato para evitar a perda permanente da visão.
4. Retinite Pigmentosa: Um grupo de doenças genéticas que causam a degeneração gradual da retina, levando à perda de visão periférica e noturna.
5. Buraco Macular: Um pequeno defeito na mácula que pode causar visão central borrada ou distorcida.
6. Edema Macular: Inchaço na mácula causado pelo acúmulo de líquido, frequentemente associado à retinopatia diabética.
7. Doenças Inflamatórias da Retina (Uveíte): Inflamação da úvea, que pode afetar a retina e causar visão embaçada e dor ocular.
8. Oclusão da Veia Retiniana: Bloqueio nas veias da retina, levando ao inchaço e hemorragia, o que pode resultar em perda de visão.
Essas condições podem ser diagnosticadas e monitoradas por meio de exames oftalmológicos, incluindo exames de fundo de olho, tomografia de coerência óptica (OCT), angiografia com fluoresceína e ultrassonografia ocular. O tratamento varia conforme a doença e pode incluir medicamentos, terapias com laser, injeções intraoculares ou cirurgia.
Estamos aqui para ajudar!
Se tiver alguma dúvida, precisar agendar uma consulta ou simplesmente quiser mais informações sobre nossos serviços, não hesite em entrar em contacto connosco.
